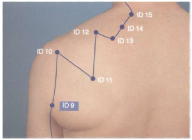
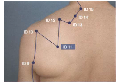
Imagens em: ./pontosacupuntura/